Parodontologie Avancée - Sauver et préserver vos dents | Agdal Dental Clinic



PARODONTOLOGIE AVANCÉE

Sauver et préserver vos dents
avec expertise spécialisée

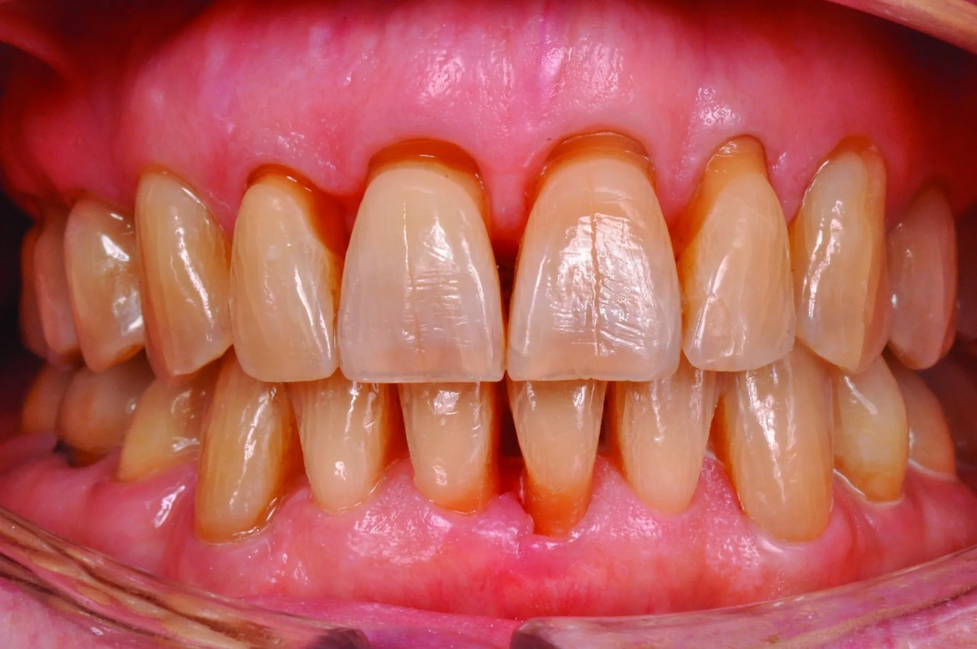
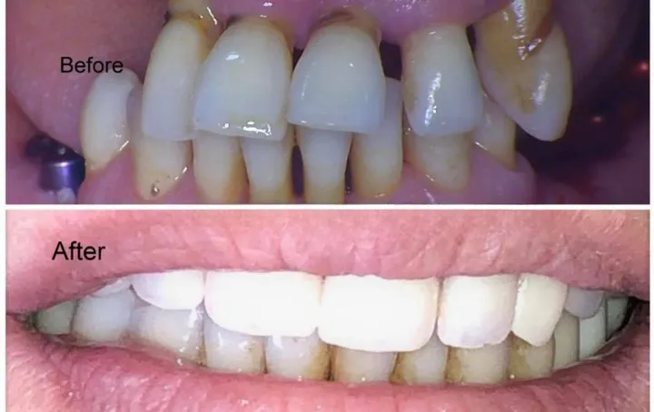
Le déchaussement dentaire et les maladies parodontales représentent la première cause de perte de dents chez l'adulte, mais ce n'est pas une fatalité. À Agdal Dental Clinic, notre expertise en parodontologie avancée vous offre des solutions thérapeutiques de pointe pour stopper l'évolution de ces pathologies et régénérer les tissus perdus. Grâce à des techniques microscopiques, des thérapies laser et des protocoles régénératifs, nous sauvons vos dents naturelles et restaurons la santé gingivale durablement.

Nos Solutions de Parodontologie Avancée

Des thérapies spécialisées pour préserver vos dents naturelles et restaurer la santé gingivale.

Traitement parodontite avancée

Traitement Parodontite Avancée

Thérapie non-chirurgicale et chirurgicale pour éliminer l'infection, stopper la progression du déchaussement et stabiliser les dents mobiles. Protocole personnalisé selon le stade de la maladie.

Thérapie ciblée Stabilisation Arrêt progression
Chirurgie régénératrice

Chirurgie Régénératrice

Reconstruction de l'os et regeneraiton tissulaire grâce aux biomatériaux et membranes. Redonner du support aux dents déchaussées.

Régénération osseuses guidee Régénérationegeneraiton tissulaire Conditionnement
Greffes gingivales

Greffes Gingivales

Corriger les récessions gingivales, renforcer les tissus fragiles et protéger les racines exposées.

Microchirurgie Recouvrement Protection radiculaire
Laser thérapie parodontale

Laser Thérapie Parodontale

Décontamination laser des poches parodontales pour éliminer les bactéries pathogènes et stimuler la cicatrisation. Traitement confortable, précis et peu invasif.

Décontamination Sans douleur Cicatrisation rapide
Détartrage et surfaçage

Détartrage & Surfaçage

Nettoyage en profondeur des racines dentaires pour éliminer tartre et biofilm bactérien sous-gingival. Première étape essentielle du traitement parodontal non-chirurgical.

Nettoyage profond Élimination biofilm Base thérapeutique
Maintenance parodontale

Maintenance Parodontale

Suivi préventif personnalisé avec séances de maintenance régulières pour prévenir les récidives et maintenir la santé gingivale à long terme. Protocole de surveillance active.

Suivi personnalisé Prévention récidives Long terme
Chirurgie esthétique gingivale

Chirurgie Esthétique Gingivale

Harmonisation du contour gingival pour corriger les asymétries et créer un cadre esthétique parfait pour vos dents. Alliance de la fonction et de l'esthétique gingivale.

Contour harmonieux Esthétique parfaite Résultat naturel

Prêt à Sauver Vos Dents ?

Découvrez nos solutions de parodontologie avancée et préservez vos dents naturelles. Expertise spécialisée, techniques de pointe et suivi personnalisé pour votre santé gingivale.

Diagnostic spécialisé • Traitement personnalisé • Suivi préventif